Maintaining a bright, healthy smile involves more than just brushing and flossing occasionally. One of the most common challenges to oral health is tartar, also known as dental calculus. Tartar is a hardened form of plaque that, if left untreated, can lead to serious dental issues such as cavities, gum disease, and bad breath. At Auld Family Dentistry, we understand how tartar affects your smile and overall oral health. In this article, we’ll explain everything you need to know about how to remove tartar from teeth, why it forms, and what you can do to prevent it.
What Is Tartar?
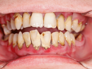
Tartar is a mineralized deposit that forms on teeth when plaque, a sticky film of bacteria and food particles, is not removed regularly. Unlike plaque, which is soft and can be brushed away, tartar hardens and bonds strongly to the enamel and along the gumline. It appears as yellow or brown deposits and can affect both the appearance and health of your teeth.
Tartar creates an ideal environment for bacteria to thrive. This can accelerate plaque buildup and increase the risk of gum inflammation, cavities, and periodontal disease. Once tartar has formed, it is extremely difficult to remove without professional dental care.
What Causes Tartar Buildup?
Tartar begins as plaque, which can develop quickly if oral hygiene is inconsistent. Several factors contribute to tartar formation:
- Inadequate brushing and flossing: Not thoroughly cleaning all surfaces of the teeth allows plaque to accumulate.
- Dietary habits: Foods high in sugar and starch feed the bacteria in plaque, promoting tartar formation.
- Tobacco use: Smoking or chewing tobacco increases the risk of tartar buildup and gum disease.
- Orthodontic appliances: Braces and other dental appliances create hard-to-clean areas where plaque can accumulate.
- Dry mouth: Reduced saliva flow prevents natural washing of the teeth, increasing plaque and tartar risk.
If left untreated, tartar can lead to more serious oral health problems, including gum recession, infection, and tooth loss.
Professional Tartar Removal
The only effective method to remove tartar is through professional dental cleaning. At Auld Family Dentistry, our skilled dental team uses specialized tools to safely and thoroughly remove tartar from teeth, both above and below the gumline.
Routine Dental Cleaning

During a standard dental cleaning, your dental hygienist will:
- Examine your teeth and gums for signs of tartar and gum disease
- Use professional instruments to remove tartar buildup
- Polish your teeth to remove surface stains and smooth the enamel
- Provide personalized guidance to prevent future tartar buildup
Routine cleanings are recommended every six months, though patients with higher tartar accumulation or gum sensitivity may require more frequent visits.
Deep Cleaning
For patients with tartar buildup below the gumline or early signs of gum disease, a deeper cleaning procedure may be necessary. This involves:
- Scaling: Removing tartar and plaque from tooth roots and beneath the gumline
- Root planing: Smoothing root surfaces to help gums reattach and heal
Deep cleaning is highly effective at controlling periodontal disease and preventing further complications.
Why Tartar Cannot Be Removed at Home
It is important to understand that once tartar forms, it cannot be removed with brushing or flossing alone. Attempting to scrape it off at home with dental tools can damage the enamel and gums, leading to sensitivity, infection, or other dental problems. Only a trained dental professional has the tools and expertise to remove tartar safely.
While at-home care cannot remove existing tartar, it is the most effective way to prevent it from forming in the first place.
Daily Habits to Prevent Tartar
Preventing tartar is much easier than removing it once it forms. Simple, consistent habits can significantly reduce your risk:
Brush Twice Daily
Use a soft-bristled toothbrush and fluoride toothpaste to clean all surfaces of your teeth. Brushing for at least two minutes, particularly along the gumline, removes plaque before it hardens into tartar.
Floss Daily
Flossing removes plaque and trapped food particles between teeth and below the gumline — areas your toothbrush cannot reach.
Use Antiseptic Mouthwash
An antibacterial mouthwash can reduce bacteria in the mouth, helping to prevent plaque and tartar formation.
Maintain a Balanced Diet
Limit sugary and starchy foods, which feed plaque-causing bacteria. Eating crunchy fruits and vegetables can naturally clean teeth and stimulate saliva flow, which helps wash away debris.
Avoid Tobacco
Smoking or chewing tobacco not only increases tartar risk but also contributes to gum disease, staining, and other oral health issues.
Stay Hydrated
Drinking water throughout the day helps rinse away bacteria and food particles, reducing plaque buildup.
Replace Your Toothbrush Regularly
A worn toothbrush is less effective at removing plaque. Replace your toothbrush or brush head every three months or sooner if the bristles are frayed.
Why Professional Care Is Essential
Regular dental visits do more than just remove tartar. They allow your dentist to monitor your oral health and detect potential problems early. Issues such as cavities, gum disease, and even oral cancer can be caught and treated before they worsen. Professional cleanings ensure that your teeth and gums remain healthy, strong, and free from harmful buildup.
At Auld Family Dentistry, our goal is to provide thorough, gentle care to protect your smile for a lifetime. By combining professional treatments with proper home care, you can maintain excellent oral health and prevent tartar from causing long-term damage.
FAQs About How to Remove Tartar from Teeth
1. Can I remove tartar from my teeth at home?
No. Once tartar forms, it cannot be removed with brushing or flossing. Only a dental professional can safely remove tartar.
2. How often should I have my teeth professionally cleaned?
Most patients benefit from cleanings every six months. Those with higher tartar buildup or gum sensitivity may require more frequent visits.
3. Does tartar removal hurt?
Most patients experience little to no discomfort. For those with sensitive teeth, dentists can use techniques and tools to ensure a comfortable experience.
4. Can tartar lead to other dental problems?
Yes. Untreated tartar can cause gum disease, cavities, bad breath, and tooth loss if not addressed promptly.
5. What is the difference between plaque and tartar?
Plaque is a soft bacterial film that can be removed with regular brushing. Tartar is hardened plaque that bonds to teeth and can only be removed professionally.
Schedule Your Professional Tartar Removal Today
Understanding how to remove tartar from teeth is crucial for maintaining long-term oral health. While daily brushing, flossing, and rinsing are essential for preventing plaque buildup, professional dental care is the only reliable way to eliminate tartar once it forms.
At Auld Family Dentistry, we are committed to helping you achieve and maintain a healthy, beautiful smile. From routine cleanings to deep scaling procedures, our team provides the expertise and personalized care you need. Consistent home care combined with professional dental visits ensures your teeth remain strong, healthy, and free from harmful tartar buildup.
Protect your smile now! Schedule an appointment with us and take the first step toward healthier teeth and gums.
